找回密码
 立即注册

QQ登录

只需一步,快速开始

  • QQ空间
  • 回复
  • 收藏

“咳”不容缓:裂隙淋巴细胞揪出百日咳的真相!

小博士 2024-6-21 05:26 PM 634人围观 医学


作者 | 庄素娟 邬文燕

指导老师 |刘小柳

单位 | 深圳市罗湖医院集团医学检验实验室




01
前    言


近期,百日咳患者数量激增,医院走廊里,孩童的咳嗽声此起彼伏,仿佛是一场无形的战争正在进行中。而我们检验科作为战斗的前哨站,应对每一份送检的标本进行深入、细致的分析,以便及时发现疾病的相关线索。


02
案例经过


在值班过程中突然被血常规弹出的一个危急值吸引视线:WBC:33.17×109/L↑,淋巴细胞比值79.3%↑RBC:4.3×1012/LHGB:112g/LPLT:720×109/L↑。仪器报警:异常淋巴细胞/原始细胞?淋巴细胞增多,单核细胞增多,血小板增多等,故立即进行制片镜检。


 



在制片的间隙,迅速查看了该患者的门诊病历。患儿,3月龄,急性起病。


主诉:咳嗽咳痰11天。


现病史:患儿11天前出现咳嗽,白天、晚上俱咳,咳时连声,有黄,无鼻塞流涕,无发热,无呕吐腹泻等症状,在家予对症治疗无改善。


既往史:否认近日流感患者接触者。否认蚕豆病、地中海贫血等病史,否认麻疹、水痘、腮腺炎、结核乙肝等传染病史。否认食物、药物过敏史。否认家族遗传史。


过敏史:否认药物、食物过敏史。否认家族遗传病史。体格检查:T36.3℃神清,精神可,面色红润,皮肤无皮。呼吸平稳,充血(++),咽峡部未见疯疹,双侧扁桃体无肿大。双肺呼吸音粗,可闻及痰鸣音,未见及哮鸣音,心腹查体、神经系统查体未见异常。


初步诊断:1.支气管肺炎。


查看生化免疫结果:肺炎支原体:阴性。13种呼吸道病原体多重检测:阴性。


相关检测结果未发现任何异常,那到底是什么原因导致小儿咳嗽不止呢?


当该患儿血涂片中的裂隙淋巴细胞进入我的视野,才渐渐解开了这迷雾缭绕的咳嗽之谜。


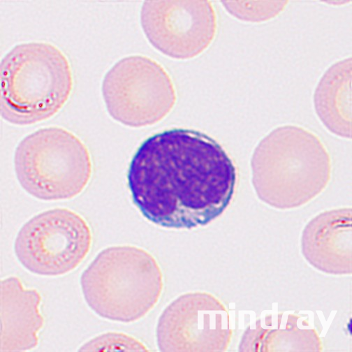
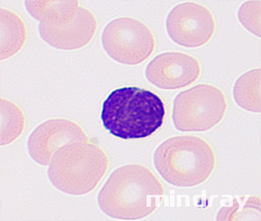
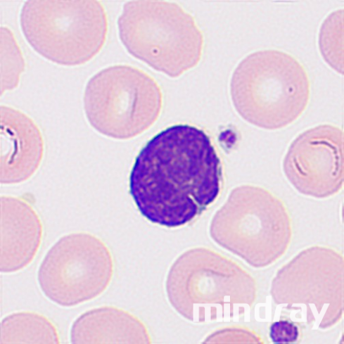
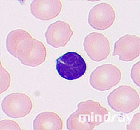
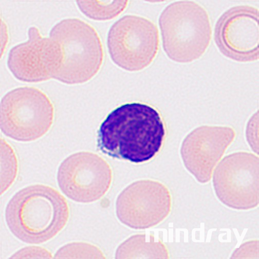
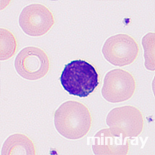
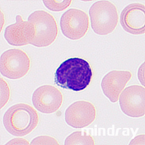
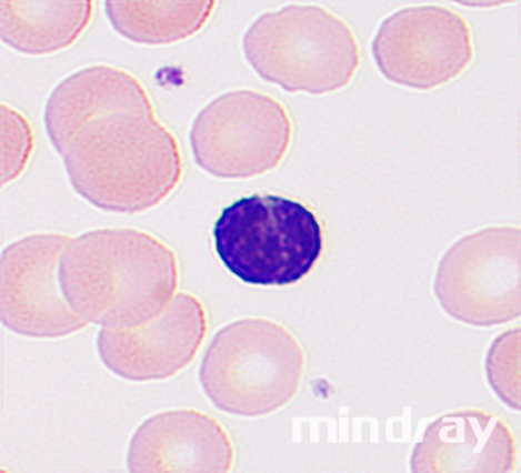
镜检200个白细胞可见约5%的裂隙淋巴细胞:该类细胞胞体圆形或类圆形,体积较小,胞质量少,呈蓝色或者浅蓝色透亮,无颗粒;细胞核型不规则,核染色质浓缩且致密,无核仁,部分核上有明显的深切的裂隙或者深裂缝,裂隙(裂缝)贯穿整个细胞核,有的出现双核样或不对称的双核样。


(瑞氏染色,×1000)


我们将镜下见到裂隙淋巴细胞告知临床医生,考虑百日咳杆菌感染的可能性较大。为进一步明确诊断,将该患儿的鼻咽拭子送检广州金域医学检验完善百日咳核酸检测,检测结果为CT 19.08,提示阳性。




该患儿入院后先静滴红霉素、口服复方磺胺甲恶唑抗感染治疗。4天后其体温逐渐恢复正常,咳嗽症状逐渐减轻,继续复方磺胺甲恶唑抗感染,两个疗程患儿咳嗽明显减轻,予以出院。


03
案例分析


百日咳(whooping cough)是一种由百日咳鲍特菌感染引起的急性高传染性呼吸道传染病,通过飞沫传播,主要表现为反复剧烈的痉挛性咳嗽,典型患者伴有深长的“鸡鸣”样的吸气性吼声,从潜伏期到发病六周均有传染性。除了久咳不止,部分高危患儿还可能出现严重的并发症,如:百日咳脑病、肺动脉高压等,严重的情况下其甚至会导致死亡。这种疾病因其病程较长,通常持续数月之久,因此被称为“百日咳”。百日咳多发于温带及寒带,四季均可发病,冬春季多见。


百日咳的早期诊断主要依据患儿的症状,但很多以咳嗽为表现的疾病,多以夜间咳嗽或者刺激性咳嗽为特点[1],这些疾病与百日咳相似,故有时会发生误诊或漏诊。为了提高诊断的准确性,实验室检查在诊断百日咳中起着重要的作用。


细菌培养:培养百日咳鲍特杆菌是百日咳诊断的“金标准”,其特异性高但灵敏度低,在卡他期或痉咳期早期鼻咽拭子标本阳性率高,病程三周以后阳性率较低。既往接种含百日咳成分疫苗且已接受抗菌药物治疗的患者,检出率较低。且由于其实验操作周期较长,因此,细菌培养在临床上的应用较少。


血清学方法:末次接种含百日咳成分疫苗间隔超过1年的病例,单份血清百日咳鲍特菌PT特异性IgG浓度超过诊断急性感染的标准阈值,对于咳嗽≥2-3周的百日咳病例诊断价值大。恢复期血清PT-IgG抗体滴度较急性期呈4倍及以上升高(排除近期接种过疫苗)适用于回顾性诊断。


核酸检测:PCR法被广泛应用于检测百日咳杆菌核酸,其诊断的阳性率受抗生素使用的影响较小,特别适用于疑似百日咳患者的早期诊断以及暴发疫情的快速诊断。


血常规检查:在卡他期末及痉咳期可见白细胞数量增多,痉咳期最明显,多为(20~50)×109/L,少数可达70×109/L以上,以淋巴细胞为主,多见于婴幼儿。


除上述血常规、病原学和血清学检查外,国内外研究提示,三岁以下小儿+咳嗽症状+白细胞数量高+淋巴细胞比例高,伴随外周血出现形态典型的裂隙淋巴细胞5%以上,可为百日咳诊断提供新的线索[2]


裂隙淋巴细胞的形态特征为胞体圆形或类圆形,体积较小,胞质量少,呈蓝色或者浅蓝色透亮,无颗粒;细胞核型不规则,核染色质浓缩且致密,无核仁,部分核上有明显的深切的裂隙或者深裂缝,裂隙(裂缝)贯穿整个细胞核,有的出现双核样或不对称的双核样。


04
总    结


在实际工作中,由于部分患者的临床症状不典型以及部分医生对百日咳的认识不足,加上部分医院开展的项目有限,导致容易漏诊或者误诊百日咳。尽管血常规对诊断百日咳并不具备较高的准确性,但我们可以通过外周血涂片发现裂隙淋巴细胞早期筛查出百日咳,这种实验室检测方法简单易行,可在基层医院使用。在获取其他检测结果之前,重视血常规形态学复检是有效的筛查手段,同时也能突显血常规形态学复检助力疾病诊断的重要价值。

   



参考文献

[1] Carbonetti N. What Causes the Cough in Whooping Cough? mBio. 2022 Jun 28;13(3):e0091722. doi: 10.1128/mbio.00917-22. Epub 2022 May 23. PMID: 35604095; PMCID: PMC9239215.

[2] Suzuki K, Hiramatsu Y, Nishida T, Horiguchi Y. Immunization with autotransporter Vag8 prevents coughing induced by Bordetella pertussis infection in mice. Microbiol Immunol. 2023 Jun;67(6):314-317. doi: 10.1111/1348-0421.13066. Epub 2023 Apr 10. PMID: 36976834.




END


说明:本文为原创投稿,不代表检验医学新媒体观点。转载时请注明来源及原创作者姓名和单位。

来源: 检验医学
我有话说......