找回密码
 立即注册

QQ登录

只需一步,快速开始

  • QQ空间
  • 回复
  • 收藏

一文读懂 | 免疫组化步骤、结果分析及注意事项...

笔者苏洛 2018-8-27 12:00 AM 6841人围观 技术

实验室花花师姐正在教导新来的师弟:“想拿高分文章,不学免疫组化怎么行?”免疫组化王子毛博旁边插话:“是这个理,今天我就豁出去,将我十多年的心得和经验奉献给小师弟你了。”小师弟感激涕零,唯诺细听两位前辈的教诲......


免疫组化,免疫组织化学技术(immunohistochemistry),是一项利用抗原抗体反应,通过使标记抗体的显色剂显色来确定组织细胞内抗原,对蛋白定位,定性的实验技术。


免疫组化主要用的是组织标本细胞标本两大类,组织标本包括石蜡切片(病理切片和组织芯片)和冰冻切片。石蜡切片,对组织形态保存好,保存时间也长,虽然对组织抗原暴露有影响,但可以抗原修复,所以石蜡切片仍然是首选的标本制作方法。

免疫组化步骤详解

免疫组化结果分析
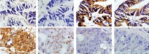
很多时候,我们千辛万苦地染出了一张张漂亮的免疫组化片子。但是却不知道如何正确地分析,得出理想的结果。这实在是一件憾事。如下图,正常的结果应该是这样的:镜下细胞核呈蓝色,阳性结果呈深浅不一的棕色。





结果分析主要有两种方法,阳性着色细胞计数法和评分法。前者是在40*光镜下,随机10个视野下计数阳性着色细胞;后者则是在光学显微镜下按染色程度(0分阴性着色,1分淡黄色,2分浅褐色,3分深褐色)和阳性范围(1分0-25%,2分26-50%,3分51-75%,4分76-100%)评分,最终分数相加。


免疫组化结果分析是毛博的特长,以下是他传授的独门绝技。


1.对照染色


和做实验的时候必须设立对照组一样,免疫组化也必须设立对照染色。没有对照染色的免疫组化结果是不可信的。对照一般有阳性组织对照,阴性组织对照,阴性试剂对照,自身对照。一般来说,有一个阳性组织对照和一个阴性组织对照就足够了。


2.定位


抗原表达必须在特定部位。如LCA应定位在细胞膜上;CK应定位在细胞浆内;PCNA及p53蛋白应定位在细胞核内等等。不在抗原所在部位的阳性着色,不能视为确切的阳性结果。有可能是非特异性染色或者假阳性。不能确定怎么办?这就要用到上一段提到的对照染色了。


3.半定位


现在一般用图像分析系统进行定量。如果你的实验室不幸没有那么高大上的话,就只好赶鸭子上架,用肉眼定一下量了。因为人为主观性比较强,所以只能称作半定量。免疫组化的半定量一般就分为三级:弱(+),中(++),强(+++)。以绿色免疫荧光为例,则表现为浅绿色荧光、明显绿色荧光和亮绿色耀眼荧光。弱(+)=1,中(++)=2,强(+++)=3。至少随机观察5-10个HPF。然后根据(+)% x 1 +(++)% x 2 +(+++)% x 3计算出数值;总数值<1.0者为(+),1.0-1.5者为(++),  >1.5者为(+++)。

来源: 医生科研助手
我有话说......