找回密码
 立即注册

QQ登录

只需一步,快速开始

  • QQ空间
  • 回复
  • 收藏

打脸又棘手的案例,检验人如何自证清白?

小博士 2024-7-5 04:08 PM 452人围观 杂谈


徐奕胜 谢金香 | 赣南医科大学第二附属医院  

王博 | 阳谷县人民医院  





前    言


血常规是血液系统疾病的第一道初筛项目,有时我们可以从血片中发现蛛丝马迹,进而提示临床考虑某类疾病大致方向,可最近我室遇到一例血片提示疑似叶酸或维生素B12缺乏的巨幼细胞性贫血,但发光的贫血三项却提示正常,这到底是怎么一回事呢?遇到此打脸又棘手的案例,检验人又该如何自证清白?



案例经过


某日在审核血常规报告时,一例MCV引起了自己的注意,该患者,女,70岁,临床诊断:头晕,WBC 10.01×109/L,RBC 2.20×1012/L,HGB 97 g/L,MCV 121.8 fL,PLT 135×109/L,如图1。


图1


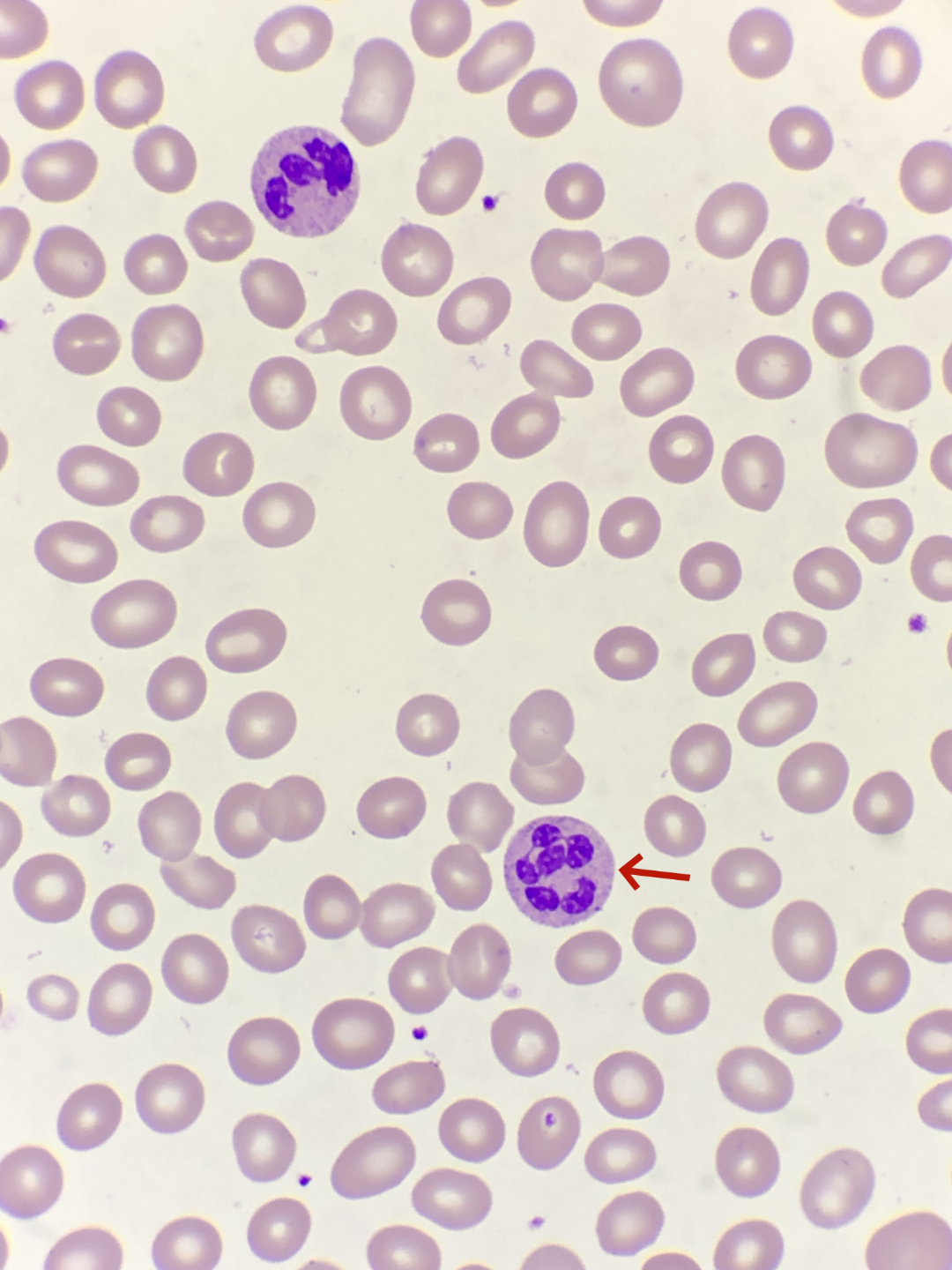
老年人,MCV明显增大,加上RBC与HGB不成比例(正常大约是1:30),高度疑似巨幼细胞性贫血的可能,于是推片镜检,可见中性粒细胞核多分叶,如图2红色箭头标识。







图2


血常规报告单异常白细胞形态:中性粒细胞核多分叶,并备注:建议贫血三项检查,疑似巨幼细胞性贫血可能,并电联临床告知相关情况,如图3。


图3


然而等到下午再继续追踪,却惊奇发现该患者贫血三项正常,如图4,叶酸 15.24 ng/mL(参考范围 >3.2ng/mL),维生素B12 509.81 pg/mL(参考范围 180~916pg/mL)。


图4


这突如其来的打脸感,顿感怀疑自己,难道细胞形态看错了,患者是其他疾病?查询患者相关结果,生化结果,如图5,总胆红素26.6 umol/L,同型半胱氨酸98.31umol/L,符合巨幼细胞性贫血的生化特征。


图5


百思不得其解,继续回顾该患者血片,中性粒细胞核多分叶现象确实存在,血片细胞形态与生化结果支持往巨幼细胞性贫血方向,但化学发光法检测的叶酸与维生素B12却提示正常,最后将此次案例分享至形态群,经王博老师告知,患者可能是维生素B12、叶酸结果假性正常的巨幼细胞性贫血,本质上患者仍旧是缺乏叶酸或维生素B12,这与检测方法学的局限性有关。


找到疑难问题突破口,接下来事情进展亦如预期一样,对比我室与第三方检测贫血三项的系统不同,外送患者出院前复查的血清标本,第三方检测系统结果,维生素B12 28 pmol/L(参考范围 133~675pmol/L),是降低的。叶酸 >56.2 nmol/L(参考范围 7~45.1nmol/L),提示升高。


图6


此时,承受的心理“巨石”终于卸下,这一刻像似如释重负,自证了自己的清白。结合我室发光试剂说明书,我们怀疑有抗内因子抗体干扰,继续加做胃炎二项(抗内因子抗体IgG、抗胃壁细胞抗体IgG),如图7,两项均为阳性。


图7


随后,紧急电联临床告知患者缺乏维生素B12,建议补充甲钴胺片(一种内源性辅酶B12,是维生素B12的一种形式)。自此,本案例圆满的画上句话。



案例分析


对比我室与第三方检测结果,如表1,我室维生素B12正常,第三方维生素B12却降低?仔细看,两家实验室的维生素B12单位不同,参考范围也不同,检测系统平台也不同,该如何比较或评价两者的相关性呢?


表1


根据常见的内分泌项目单位换算公式可知,维生素B12单位为pmol/L,换算系数为pg/mL ×0.739,如图8,也即是说,我室的维生素B12单位若换算成第三方单位,则是509.81 pg/mL×0.739=376 pmol/L,也是落在第三方正常的参考区间。


图8


那是什么原因导致我室的维生素B12假性正常?这就得从该试剂的方法学原理说起,维生素B12测定采用化学发光免疫竞争法。


被测血清中的维生素 B12 与反应系统中加入的生物素标记的维生素 B12 竞争性结合维生素B12 结合蛋白,此结合蛋白通常被荧光素所标记,通过标准曲线测出被测血清标本的维生素B12 水平。


反应中所应用的维生素B12 结合蛋白为纯化的内因子,纯化内因子大大降低了血清中维生素B12 类似物对维生素 B12水平检测的干扰,但纯化内因子并不会消除内因子阻断抗体对本试验的干扰。内因子阻断抗体会结合反应体系中的内因子试剂,造成被测血清中维生素 B12 水平假性升高,这种测试的影响在过去的10年中,多个检测机构针对不同的检测系统做过报道。[1]


结合外送抗内因子抗体IgG、抗胃壁细胞抗体IgG阳性,说明患者血清中确实存在干扰维生素B12测定的抗体,简单理解,抗内因子抗体可顶替维生素B12,与内因子特异性结合。


所以,本案例最终的真相为:患者确实缺乏维生素B12,我室检测的维生素B12结果为假性正常,考虑是抗内因子抗体阳性所致的干扰。另外,由于患者住院期间服用叶酸片,便可以解释出院前的复查血清标本,也即是外送第三方的血清标本叶酸 >56.2 nmol/L的超线性原因。


最后,经发光组同事寻找第三方维生素B12试剂说明书,得知该品牌系统检测原理同样也有标记的内因子,但出现了维生素B12结果差异化,考虑不同品牌系统间的抗干扰能力不同或反应体系中反应物前后加入顺序差异所致。



知识拓展


(1)如何判断血常规相关指标与巨幼细胞性贫血的关联性?


巨幼细胞性贫血(MgA)为大细胞性贫血、RBC与HGB下降不平行(或不成比例)、RBC减少更明显。中性粒细胞胞体偏大,出现核分叶过多的中性粒细胞是MgA的早期征象。[2] 结合患者以“头晕”入院,血常规RBC 2.20×1012/L,HGB 97 g/L,MCV 121.8 fL,血片可见中性粒核分叶过多,故而提示临床考虑MgA方向。


(2)如何从生化指标挖掘巨幼细胞性贫血的方向?


我们主要从TBIL、IBIL、LDH、Hcy指标挖出MgA。MgA患者TBIL、IBIL升高原因:由于存在原位溶血,导致巨幼红细胞和红细胞在骨髓中崩解,这种无效造血的增强,可出现骨髓巨噬细胞在清除 有内在缺陷的前体细胞过程中,导致旁路胆红素生成过多,以间接胆红素升高为主,即旁路性高胆红素血症,属于溶血性黄疸。[3]


同型半胱氨酸(Hcy)是机体蛋白质代谢时合成的含硫氨基酸,是蛋氨酸中间代谢产物,体内不能合成,只能来源于蛋氨酸的分解代谢。正常情况下,它在人体血液中的含量很低,由于MgA患者体内缺乏叶酸和(或)维生素B12,而叶酸和维生素B12 正是 Hcy 再甲基化的辅酶,故导致MgA患者体内 Hcy 堆积,造成高 Hcy 血症。[3]


MgA主要是由于DNA合成障碍所致的一种贫血,不同阶段的幼红细胞和大红细胞生存期较正常细胞明显缩短,特别是在发生原位溶血后,容易导致LDH明显增高。[3] 


本案例患者虽然未做LDH,但有报道研究,α-羟丁酸脱氢酶(α-HBDH)是LDH的H亚基作用于另一种底物的反映,不是一种独特的酶,LDH和α—HBDH测定结果升高或降低相伴相随,无统计学意义。[4]


理论上α-羟丁酸脱氢酶作为心肌酶谱的一员,其实检测的为LDH1和LDH2含量的总和,正常情况下,LDH浓度应该大于α—HBDH,且有老师根据工作经验发现α—HBDH与LDH比值大约80%左右。[5] 所以,本案例患者虽未检测LDH,但也可根据α—HBDH升高,间接判断出LDH也应升高。


对照该患者生化结果,TBIL 26.6 umol/L,IBIL 16.3umol/L,Hcy 98.31umol/L,与文献报道相符合。



总结


经过本案例结果的互相矛盾,并最终自证清白过程,深刻领悟到临床患者疾病情况万分复杂,也进一步加深了对仪器间的不同原理差异化与方法局限性的理解。




【致谢】

感谢阳谷县人民医院王博老师对本案例疑难之处的帮助与指点!


【参考文献】

[1] 贾曦,常文龙,韩梦思. 血清维生素B12水平正常的巨幼细胞性贫血1例[J].检验医学与临床,2021,18(3):428-429

[1] 夏薇,陈婷梅.临床血液学检验技术[M].北京:人民卫生出版社,2015:228-232

[2] 王伟伟,张夏,黄传荣,等. 血清LDH,TBIL,IBIL和Hcy水平检测在MA和MDS临床鉴别诊断中的作用研究[J]. 现代检验医学杂志,2015(1):111-114

[3] 任正伟,李丁全.乳酸脱氢酶和α-羟丁酸脱氢酶联合测定意义不大[J].国际检验医学杂志,2013,34(17):2339

[4] 万权松.临床生化报告审核中的这些坑,你一定遇到过!检验医学公众号.2021-12-25




END


说明:本文为原创投稿,不代表检验医学新媒体观点。转载时请注明来源及原创作者姓名和单位。

来源: 检验医学
我有话说......