找回密码
 立即注册

QQ登录

只需一步,快速开始

  • QQ空间
  • 回复
  • 收藏

血清量极少,HCT却不高,拨云见日之后,竟发现是…

小博士 2024-10-31 04:07 PM 474人围观 医学

 作者:韦纯东

单位:桂林医学院



一、前言



医学的探索犹如在迷雾中前行,每一个病例都是一道谜题,等待着医护人员去解开。在临床检验中,看似寻常的生化标本和血常规结果,有时却能成为解开重大疾病谜团的关键线索。


本病例围绕一位生化标本离心后血清量少且血常规显示红细胞压积(HCT)不高的患者展开,通过细致的分析和一系列精准检查,最终确诊为多发性骨髓瘤。这一过程不仅展现了医学诊断的复杂性和严谨性,也为临床工作者提供了宝贵的经验和启示。



二、案例经过



病史:患者,男,45岁,2024年9月5日因发热,伴咳嗽咳痰一天于本院呼吸与危重症医学科就诊。


查体:神志清楚,精神尚可,面容正常,表情自然,发育正常,营养良好,自主体位,查体合作,语言正常,对答切题,皮肤黏膜无黄染,淋巴结无肿大,头颈部查体未见异常。咽无充血,双侧扁桃体无肿大。心肺听诊未见异常。腹部查体及神经系统检查未见异常。


既往史:无。过敏史:无。


(1)意外发现


该患者的生化标本被送至实验室进行检测。在离心处理后,我们惊讶地发现血清量极少。这一异常现象立即引起了我们的警觉。通常情况下,生化标本离心后会有一定量的血清,以便进行各项生化指标的检测。但此次血清量之少,并不常见。


(2)初步排查


我们首先对标本采集和离心过程进行了严格检查,确保操作无误。在排除了采集操作问题后,我们开始思考其他可能的原因。此时,查看了患者的血常规结果,发现 HCT 并不高。


在生理状态下,HCT与血清量存在一定的间接联系。全血是由血细胞(包括红细胞、白细胞和血小板)和血浆组成的。当HCT较高时,意味着红细胞在全血中的比例较大,相对而言血浆的比例就会减小。由于血清是血浆除去某些成分后的产物,所以在这种情况下,血清量可能会相对减少(假设采集的全血量固定)。反之,当HCT较低时,血浆比例相对较大,理论上血清量可能相对较多。这一发现虽然不能直接确定病因,但为进一步的分析提供了重要线索。


图片

图片


(3)深入思考与提示


结合血清量少和 HCT 不高的情况,我们查阅了文献资料,并与同事进行了深入讨论。发现在多发性骨髓瘤患者中,HCT与血清量关系较为特殊。多发性骨髓瘤患者体内会产生大量的单克隆免疫球蛋白,这些异常蛋白质会使血液黏稠度显著增加。高黏稠度的血液可能影响离心过程中血清的分离,导致血清量减少。同时,多发性骨髓瘤患者常伴有贫血,这会使HCT降低。所以在这种病理状态下,可能出现HCT不高但血清量很少的现象。我们与临床医生沟通后,用肝素管重新采集标本离心后上机检测,完善了生化的相关检测。结合标本状态、蛋白尿和轻度贫血的特点,我们认为是多发性骨髓瘤的可能性较大,并将这一考虑及时反馈给临床医生。


图片

图片


(4)确诊之路


临床医生根据我们检验人员的提示,为患者安排了免疫固定电泳和骨髓检查。免疫固定电泳结果显示患者血清中存在单克隆免疫球蛋白,这是多发性骨髓瘤的重要特征之一。


图片


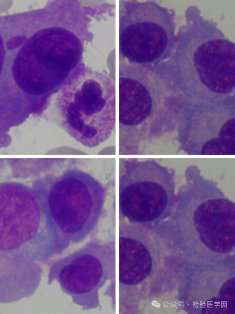
而随后的骨髓检查则进一步证实了多发性骨髓瘤的诊断。骨髓中可见大量异常浆细胞增生。


图片



三、案例分析



(一)血清量少的原因探讨


1.血液黏稠度增加:多发性骨髓瘤患者体内会产生大量的单克隆免疫球蛋白,这些异常蛋白质会使血液黏稠度显著增加。高黏稠度的血液在离心过程中,血清分离困难,从而导致血清量减少。


2.凝血功能异常:部分多发性骨髓瘤患者可能存在凝血功能异常,导致血液凝固性增加,也会影响血清的分离。


(二)HCT不高与多发性骨髓瘤的关系


1.贫血机制:多发性骨髓瘤患者常伴有贫血,其原因主要包括骨髓中异常浆细胞的增殖抑制了正常造血功能、单克隆免疫球蛋白对红细胞的破坏以及肾功能损害导致促红细胞生成素减少等。HCT 不高反映了患者可能存在贫血,这与多发性骨髓瘤的常见临床表现相符。


2.疾病进展的提示:HCT 的变化可以在一定程度上反映多发性骨髓瘤的病情进展。随着疾病的发展,贫血可能逐渐加重,HCT 进一步降低。


(三)离心后血清量很少的标本处理建议


1.排除操作问题:首先检查标本采集和离心操作是否规范。

2.考虑疾病因素:如果排除了操作问题,需要进一步考虑患者是否有真性红细胞增多症、肺心病或多发性骨髓瘤等疾病。另外呕吐和腹泻这些情况会导致脱水,从而引起血液浓缩。

3.多次采集:可以尝试多次采集患者血液标本,每份标本吸取200ul。

4.高速离心:提高离心转数到10000rpm,10分钟。

5.温浴标本:温浴标本15分钟后再离心。

6.肝素抗凝法:使用肝素抗凝管采集标本。



四、总结



本病例通过对生化标本离心后血清量少这一异常现象的深入分析,结合血常规和生化结果,成功提示临床医生考虑多发性骨髓瘤,并最终通过免疫固定电泳和骨髓检查确诊。这一过程充分体现了临床检验在疾病诊断中的重要作用,以及多学科协作的必要性。


在临床工作中,我们应高度重视每一个异常的检验结果,不放过任何一个细微的线索。当遇到血清量少等异常情况时,不能仅仅局限于标本采集和离心过程的检查,而要综合考虑患者的临床表现、其他检验结果以及可能的疾病因素。同时,临床医生和检验人员之间应保持密切的沟通与协作,共同探讨分析,提高诊断的准确性和及时性。


【参考文献】

[1]尤黎明,吴瑛.内科护理学第六版(M).北京:人民卫生出版社,2017.6

[2]张之南,郝玉书,赵永强,王建祥.血液病学第2版.(M).北京:人民卫生出版社,2011.9

[3]朱霞明,刘明红,葛永芹,血液科临床护理思维与实践(M).北京:人民卫生出版社,2016.6

[4]朱霞明,童淑萍.血液系统疾病护理实践手册(M).北京:清华大学出版社,2016.11

来源: 检验医学网
我有话说......