找回密码
 立即注册

QQ登录

只需一步,快速开始

  • QQ空间
  • 回复
  • 收藏

急性T淋巴细胞白血病伴髓系表达orMPAL双表型?

小博士 2021-12-24 04:29 PM 2974人围观 技术


作者 | 秦尤文  张炳尧

单位 | 上海闸新中西医结合医院  




根据MICM(细胞形态学、免疫学、细胞遗传学、分子生物学)检测结果,大部分急性白血病可分为急性髓细胞白血病(AML)或急性淋巴细胞白血病(ALL),但有少数急性白血病(AL)的恶性细胞,其抗原表达没有明确证据表明是沿单一谱系分化,这类白血病被称为急性系列不明白血病(ALAL)。


ALAL中包括急性未分化白血病(AUL),即未显示谱系特异性抗原,以及混合表型急性白血病(MPAL)。MPAL又包含两类:表达不同抗原谱系的不同原始细胞群体(双系列)和同一细胞群体上表达不止一个谱系特异性抗原(双表型)。


MPAL发生率低,在急性白血病中<4%。根据免疫表型,MPAL可表现为B淋系和髓系(B/My)共表达、T淋系和髓系(T/My)共表达、B淋系和T淋系(B/T)共表达以及三系(B/T/My)共表达,四者中B/My发病率最高,B/T/My最少见。









案例经过


患者男性,74岁,主因“确诊急性白血病33月,入院化疗”于2021年10月25日首次入我院治疗。2018年12月在当地医院骨穿明确诊断为“急性T淋巴细胞白血病伴髓系表达”,先后予IA+VP、CAT、EA方案化疗多程,2018年12月至2020年3月多次复查骨髓形态学完全缓解,流式微小残留病灶(MRD)却始终未转阴。2020年10日复查骨穿,提示原发病复发,再次给予IA+VP和EA方案交替化疗,末次骨穿流式见59.31%的残留白血病细胞。


患者初发时血常规:WBC 2.7×109/L,NEU# 0.83×109/L,Hb 125g/L,PLT 133×109/L。骨髓形态提示T-ALL。流式免疫分型示:原始T淋巴细胞群约占所有细胞的18.7%,其中伴髓系表达的T细胞约占12%,淋巴细胞免疫表型为:CyCD3+,CD7+,CD34+,CD38+,CD5part+,CD33part+,CD71part+;异常T淋巴细胞伴髓约占所有细胞的12%。细胞遗传学检测:正常核型。基因检测:NRAS和DNMT3A突变。


入我院时血常规:WBC 8.07×109/L,LYM# 7.27×109/L,NEU# 0.71×109/L,Hb 105g/L,PLT 54×109/L。骨髓穿刺评估患者疾病情况,骨髓涂片示有核细胞>200个/HP,增生极度活跃;淋巴细胞异常增生,占97.0%,其中原始、幼稚细胞占93.4%,此类细胞胞体略偏大至中等大小,胞浆量中等染灰蓝色,胞核多呈类圆形及扭曲折叠形常偏位,核染色质较疏松,隐约至明显可见1-2个核仁,易见手镜样细胞,可见涂抹细胞。


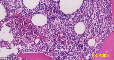
细胞化学染色:POX:99%(-),1%(+),DCE:阴性,PAS:约10%的细胞呈弥散状阳性,ANAE:约92%的细胞呈弥散至点状阳性,ANAE+NaF:约2%的细胞呈弥散状阳性,抑制率97.8%。结果如下图所示:















多参数流式示免疫表型异常的幼稚细胞占有核细胞总数90.23%,该群细胞除T系特征性抗原外,同时表达髓系相关抗原:CD45dim+,CD34+,CyCD3+,CyMPOfew+(阳性率11.88%),CD7+,CD5dim+,CD33+,CD38+,CD11b+,CD99+,NuTdTpart+,CD117few+(阳性率13.58%),HLA-DRfew+,CD71dim+,CD58+,CD81dim+,CD3-,CD2-,CD8-,CD1a-,CD4-,CD16-,CD56-,CD57-,CD13-,CD15-,CD64-,CD14-,CD66c-,CD19-,CD22-, CD20,-CyCD79a-,CD10-,CD138-。


结论:CD117/CyMPO/CyCD3三指标共阳性的细胞占异常幼稚细胞的11.88%,为T系和髓系双表型。


主要流式图如下所示:


骨髓活检结果回报:符合T-ALL,且免疫组化提示约5-8%肿瘤原始细胞同时表达CD117及MPO,HE、CD3、CD117、MPO组化图如下:



核型分析示正常核型。分子生物学检测:51种融合基因检测阴性,突变检测到NRAS、DNMT3A、IKZF1、PCLO和NOTCH1突变,突变报告如下:











案例分析


ALAL的诊断依赖于免疫分型,流式细胞术是确定诊断的首选方法,尤其是在同一细胞上识别淋系和髓系分化抗原的共表达时。而在鉴别两种(或以上)不同的白血病细胞群时,可以通过骨髓病理免疫组织化学染色或涂片细胞化学染色,同时结合流式细胞术。


本案例在初发时骨髓形态学诊断为T-ALL,流式免疫分型显示原幼细胞表达早期分化抗原(CD34+)、T系抗原(CyCD3+,CD7+,CD5part+),跨系表达髓系抗原CD33part+。


根据形态和流式结果按T-ALL化疗方案治疗,疗效不佳,仅达到形态学完全缓解,流式MRD始终阳性。复发后转入我院,常规对其疾病状态再次评估,完善MICM+病理检查。骨髓涂片显示比较典型的淋系原幼细胞形态,细胞化学染色中相对特异的POX和DCE结果也符合淋系细胞特征。


由于我院流式免疫分型常规检测髓系、淋系及各细胞系列特征性抗原和胞内抗原,发现其原幼细胞不但表达CD33,同时表达髓系抗原CyMPO和CD117,阳性率分别为11.88%和13.58%,为排除实验过程中造成的假阳性,又进行了复测,两次结果阳性率非常接近。


同时送检的活检样本也证实了其骨髓样本中约5-8%肿瘤原始细胞同时表达CD117及MPO,根据流式和病理的结果,可以考虑诊断为“T/My双表型”。









心得体会


ALAL特别是MPAL的术语和定义一直有些含糊,在WHO分类标准发布前,一些被报道为双表型的急性白血病应归类至跨系抗原表达的AML或ALL。ALAL的实际发病率比报道的少,其中T/My的发病率不到所有白血病的1%,可以发生在儿童和成人中。


T/My原始细胞的形态学特征和T-ALL相似,表达的T系抗原通常有cCD3、CD7、CD5和CD2,一般不表达表面抗原CD3,髓系抗原除表达CyMPO外,还常表达其他髓系标志物如CD13、CD33和CD117。多数T/My存在克隆性染色体异常,但尚未发现哪些异常具有特异性,目前也没有足够的文献表明哪些基因突变与T/My密切相关。


本病例流式免疫表型符合T/My,染色体分析示正常核型,分子检测到信号通路基因NRAS和NOTCH1突变、ALL中较常见IKZF1突变、表观遗传学相关基因DNMT3A突变,以及在ALL中偶有检出的PCLO基因突变,查阅数据库后发现本病例以上5个基因的突变位点均未在白血病中被报道,临床意义未明。


有研究表明IKZF1、NOTCH1和DNMT3A这3个基因在T/My中发生突变频率较高。一般认为T/My预后差,由于病例数少,尚没有固定的治疗方案,文献中各临床团队分别尝试了髓系或淋系单一方案、髓系+淋系方案、淋系和髓系方案交替使用,结果尚未获得一致性评价。


本病例初诊以来一直采用淋系方案化疗,虽达到形态学完全缓解,但流式MRD始终阳性,疗效不佳。有观点认为采用淋系方案诱导缓解后行异基因造血干细胞移植可能是较好的治疗策略,可惜本病例年龄太大,已经历多程化疗,最终家属选择回当地医院。


虽然细胞化学染色可以在一定程度上提供帮助,但是单纯通过细胞形态学很难准确分辨双表型MPAL的白血病细胞,本病例就是很好的例证。在形态学层面与T-ALL无法鉴别,最终依靠多参数流式细胞术弥补了形态学分型的不足。


值得注意的是进行流式检测时,在条件允许的情况下,所选的抗体组合应尽可能覆盖各细胞系列,存在跨系表达时,更要关注其对应细胞系列中其他特征性抗原及胞内抗原的表达情况。


T/My特别需要与ETP-ALL(早期前体T淋巴细胞白血病)相鉴别,因后者也会异常表达髓系和干祖细胞相关抗原如:CD13、CD33、CD117和CD34,两者可以通过CyMPO及CD1a、CD8、CD5等抗原表达与否及强弱来鉴别。MPAL诊断虽然主要依靠流式,但是综合MICM和病理结果进行分析,可以更准确地诊断和鉴别诊断,为预后判断和制定个体化治疗方案提供有效依据。




【参考文献】

[1]Steven H. Swerdlow, Elias Campo,  et al. WHO Classification of Tumours of Haematopoietic and Lymphoid Tissues. International Agency for Research on Cancer. Lyon, 2017.

[2]王谦,陈苏宁. 混合表型急性白血病的细胞及分子遗传学研究进展. 中国生物工程杂志, 2019,39(9) : 91-97.

[3]张贺洋,于锦香,李艳.混合表型急性白血病诊治进展. 中国实用内科杂志.2017,37(5):772-776.

[4]Porwit A, Béné MC. Multiparameter Flow Cytometry Applications in the Diagnosi sof Mixed Phenotype Acute Leukemia. Cytometry B Clin Cytom. 2019,96(3):183-194.

[5]Wang P, Peng X, Deng X, et al. Diagnostic challenges in T-lymphoblastic lymphoma, early T-cell precursor acute lymphoblastic leukemia or mixed phenotype acute leukemia: A case report. Medicine (Baltimore). 2018, 97(41): e12743.



END

来源: 检验医学
我有话说......