找回密码
 立即注册

QQ登录

只需一步,快速开始

  • QQ空间
  • 回复
  • 收藏

一例CEBPA双突变引起的遐想

小博士 2021-11-9 05:33 PM 2520人围观 技术


秦尤文、付兆强 | 上海市闸新中西医结合医院

王珏 | 江苏省无锡市人民医院

郑潇寒 | 江苏省南京脑科医院


01

前  言


忙碌的一天又开始了,进修生小张正在埋头仔细的分着一份骨髓片,忽然她惊讶的喊道:“老师,老师,为什么这个人的原始细胞中好多空泡呀?”


“嗯,确实有不少的细胞胞浆内可见空泡/空晕,知道这些空晕与形态学有关联吗?”我仔细浏览了片子之后回答。


“啊?有什么关联啊?”小张一脸困惑的看着我。


别急,让我们先来看完这个案例。


02

案例经过


病史简介:69岁老年女性,主因乏力纳差4月,右眼出血1天入院。查体:神志清楚,精神一般,皮肤黏膜苍白无出血点,全身浅表淋巴结未及肿大及压痛,睑结膜重度苍白,右侧巩膜出血。腹平软,无压痛,肝脾肋下未及。


实验室检查


血常规数据及图形:


生化:


余无明显异常


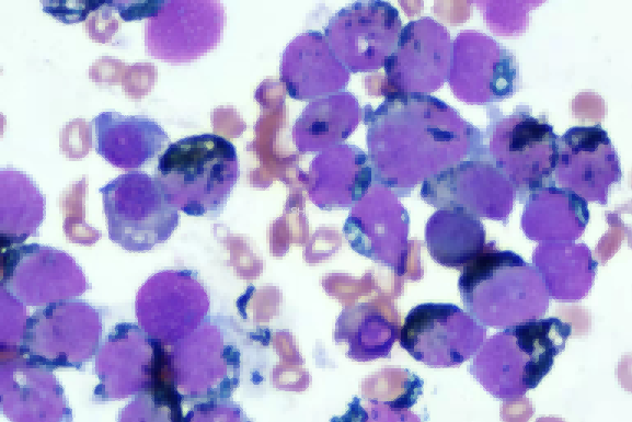
外周血细胞形态:




骨髓细胞学检查:




无论是在外周血还是骨髓中,原始细胞的胞质中均含有空泡/空晕,其大小/数量不一。


↑POX染色:原始细胞为阳性


↑DCE染色:少数原始细胞为阳性


↑PAS:原始细胞呈弥散状阳性


↑NAE:部分原始细胞为阳性


↑NAE+NaF:原始细胞的阳性反应被抑制


骨髓细胞形态学报告:


免疫分型报告:


染色体核型分析报告:


白血病融合基因检测报告


血液肿瘤基因突变检测报告

综合以上实验室检查,临床考虑为AML伴双等位基因突变,需进一步排除AML伴CEBPA胚系突变。


03
文献复习


AML伴双等位CEBPA基因突变是WHO2016版更新的正式病种,由WHO2008版的AML伴CEBPA突变这一临时病种修订而来。双等位CEBPA基因突变发生于4%-9%的儿童和年轻成人的AML患者,老年人发病率较低,通常符合AML成熟型和AML不成熟型的标准,某些病例可呈现粒-单核细胞或单核细胞的特征,携带CEBPA双突变的患者预后良好。让我们先来认识一下何为CEBPA基因:


CCAAT增强子结合蛋白A(CEBPA)基因定位于染色体19q13.1,全长3318bp,序列中无内含子。CEBPA基因编码的CEBPA蛋白是维持造血系统粒系分化的重要转录因子,在调节细胞增殖与分化的平衡中起着关键作用。CEBPA蛋白主要由N端的转录激活结构域TAD区和C端的碱性亮氨酸拉链结构域bZIP区组成。CEBPA基因的突变及其在转录、翻译及翻译后水平受到的异常调控可引起CEBPA蛋白结构或表达异常,导致粒系分化成熟障碍、不成熟粒系前体细胞异常增殖,是急性髓系白血病(AML)的重要发病机制。


CEBPA基因突变阳性的AML患者往往表现为血红蛋白的水平增高,血小板计数和乳酸脱氢酶较低,外周血原始细胞数高的特点。(虽然本例患者血小板数极低,外周血可见大量原始细胞,但是血红蛋白重度低下,乳酸脱氢酶增高,与文献报道不符)


只有AML伴双等位CEBPA基因突变与预后良好有关(单突变则不然),那么什么是等位基因呢?等位基因是指位于一对同源染色体相同位置上控制同一性状不同形态的基因,如下图:



等位基因中如果一条有问题,就是单等位基因突变,两条都有问题才是双等位基因突变。对于双等位CEBPA突变,两个突变必须是1个在N末端、另一个在C末端。


70%以上的AML伴双等位CEBPA基因突变的患者染色体核型正常,del(9q)常见,约26%的患者可见多系病态造血,因此需与AML-MRC相鉴别。因为根据研究,该病的预后良好;在德国的一项研究中,AML伴双等位CEBPA突变的预后甚至与APL伴PML-RARA相当,这与预后不良的AML-MRC有明显的区别。


值得一提的是,WHO2016新增了伴胚系易感性髓系肿瘤这一临时类别,其中就包括了AML伴胚系CEBPA突变。


[名词解释]胚系突变又叫生殖细胞突变,是来源于精子或卵子这些生殖细胞的突变,因此通常身上所有细胞都带有突变;体细胞突变又叫获得性突变,是在生长发育过程中或者环境因素影响下后天获得的突变,通常身上只有部分细胞带有突变。


AML伴双等位CEBPA突变的两个突变必须都是体细胞(血细胞)的突变;只要有一个突变是胚系突变,就不能诊断为该病,而应诊断为AML伴胚系CEBPA突变。伴胚系CEBPA突变的家族性AML患者虽然容易复发,但预后仍然是良好的。


笔者总结的AML伴双等位CEBPA突变的诊断标准是:

外周血/骨髓中的髓系原始细胞≥20%,既往无化疗/放疗史,无其他重现性遗传学异常,无MDS或MDS/MPN病史,没有MDS相关的细胞遗传学异常,具有CEBPA双等位基因突变者,可诊断为AML伴CEBPA双等位基因突变。


需要说明的是:

①当符合上述条件时,即使有多系病态造血的形态学特征也不再分类为AML-MRC,而应诊断为AML伴双等位CEBPA基因突变。


②当外周血/骨髓中髓系原始细胞≥20%时,若有MDS、MDS/MPN病史或者骨髓增生异常相关细胞遗传学改变[如del(11q)],即使有双等位CEBPA基因突变,仍应诊断为AML-MRC。


③诊断AML伴双等位CEBPA基因突变(尤其是年轻患者)时,要排除AML伴胚系CEBPA突变,可行胚系标本(首选皮肤活检)突变分析。


04
案例分析


1、本例外周血/骨髓中的髓系原始细胞分别为91%和81%,符合AML的标准。


2、另外,本例既往无化疗/放疗史,无MDS或MDS/MPN病史,没有其他重现性遗传学异常,没有MDS相关的细胞遗传学异常,且具有双等位CEBPA基因突变;因此,临床考虑诊断为AML伴双等位CEBPA基因突变。


3、虽然患者年龄较大,胚系CEBPA突变的可能性不大,但确实没有证据能排除之,故不能确立“AML伴双等位CEBPA基因突变”这一诊断,应完善胚系标本突变分析进行判断。不过这对临床治疗的影响不大。


该流程图来自公众号“血液病综合诊断学术交流”


05
心得体会


虽然尚无报道见诸期刊,但国内很多形态学工作者已经注意到,伴CEBPA突变的AML病例(未必是双等位CEBPA),原始细胞的胞质常有空泡/空晕,呈虫咬样。比如:


↓甘肃省酒泉市人民医院窦心灵老师的病例:


↓广东省深圳市儿童医院姚强老师的病例:


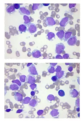
↓江苏省无锡市人民医院王珏老师的病例:


↓江苏省人民医院张建富老师的病例:


↓青岛妇女儿童医院牟文凤老师的病例,来自公众号“血液病综合诊断学术交流”


该形态学特点是否可以成为识别该突变的要点,以及该现象出现的机制,还需要进一步研究。


“谢谢老师,没想到,这个疾病包含了这么多的知识点,它让我知道了形态与基因的某些关联,譬如AML伴原始细胞胞浆内空泡/空晕,可能提示有CEBPA双突变,也让我学到了诊断与鉴别诊断的重要性,这么多新技能我可得回去慢慢消化,更好的提升自己的能力。”


参考文献

[1]卢兴国,叶向军,徐根波.骨髓细胞与组织病理诊断学[M].北京:人民卫生出版社,2020

[2]高海燕,刘亚波,吕成芳,陈雪艳.血液病临床检验诊断[M].北京:中国医药科技出版社,2021.3

[3]SwerdlowSH,CampoE,HarrisNL,etal.WorldHealth Organization classification of tumoum of haematopoietic andlymphoid tissue.4thed,France:Lyon;IARC:2008

[4]SwerdlowSH,Campo E,Harris NL, etal.WHOClassification of Tumours of Haematopoietic and LymphoidTissues.Revised4th edition.France:Lyon,IARC:2017.

[5]Grossmann V,Schnittger S, Kohlmann A, et al: A novel hierarchical prognosticmodel of AML solely based on molecular mutations. Blood 120:2963,2012

[6]叶向军,卢兴国.2016年更新版《WHO造血和淋巴组织肿瘤分类》中伴胚系易感性髓系肿瘤临时类别的解读[J].临床检验杂志,2016,34(11):854-857.

[7]张俊平,林冬,王书春等.一个伴CEBPA基因突变的急性髓系白血病家系调查及临床分析.中华血液学杂志[J],2020,41(12):1008-1012.

[8]牟文凤等.分道扬镳的兄弟俩:AML伴CEBPA双等位基因突变和AML-MRC.血液病综合诊断学术交流[公众号][Z/OL](2020-12-13).https://mp.weixin.qq.com/s/gkTGXxnu2YQPgVaAKeO83Q

来源: 检验医学
我有话说......