找回密码
 立即注册

QQ登录

只需一步,快速开始

  • QQ空间
  • 回复
  • 收藏

小心成团分布细胞的陷阱及诊断思路经验分享

小博士 2021-7-29 03:11 PM 8220人围观 技术

黄兴琴 | 陆军军医大学西南医院血液科 

高晓鹏 | 西安市儿童医院中心实验室

郑潇寒 | 南京脑科医院检验科  




前 言


说到骨髓中成团分布、胞浆融合的细胞,大家会想到哪些疾病呢?刚好遇到一例有以上特点的案例,特此分享出来引以为戒。



案例经过


一日,同事拿着一张骨髓涂片给我再次审核,我拿着骨髓涂片从低倍镜下就看到了成堆的细胞团,如下图:


  1. 低倍镜

高倍镜


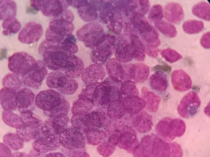
2、继续放大看油镜


该类细胞成堆分布,部分细胞可见空泡,且存在一定的融合现象,由以上图片你们的第一印象是什么?


我们先来做一道选择题。

A.实体瘤骨髓转移

B.ALL

C.AML

D.淋巴系统增殖性疾病



案例分析


我们很容易不假思索的认为,同一类细胞成团分布嘛,选择了A呀!是的,我们往往有这样的误区。再仔细瞧瞧,该类细胞虽有黏连、重叠,但是胞浆融合感不强,实体肿瘤细胞“三大,三深,三千”的表现也不明显,同时,大家有没有注意,在这团成堆细胞的周边可见单个分布的同类异常细胞(如下图),而该类细胞正是我们诊断和产生疑惑的关键点所在。



既然有单个分布,那我们继续看其他区域异常细胞的分布情况及形态特征:单个均匀分布的细胞与成团细胞形态一致,大小较均一,胞浆量少,天蓝色或蓝色,部分边缘不整,可见伪足状突起,核椭圆,可见凹陷,切迹,核染色细致,厚实感,核仁1-3个。见下图


此时您认为最有可能的形态学诊断是什么呢?

A.ALL

B.AML

C.淋巴瘤细胞白血病

D.转移瘤


此时我们就需要关注患者的病史了,我询问同事该患者的基本情况,原来该患者4月前诊断过CML加速期,经过一段时间的治疗,此次复查骨髓,这下我们就心中有数了。


骨髓报告具体描述如下:


有核细胞增生明显活跃,粒系增生偏低,形态大致正常。红系增生活跃,以晚幼红细胞为主,形态大致正常。可见大量异常细胞,占30%,该细胞大小不一,圆形或类圆形,胞浆量少或中等,染蓝色,胞膜周边易见伪足及突起,部分核形较规则类圆形,部分可见扭曲折叠及切迹,核质突出伸向胞外,核染色质较粗,部分可见核仁,可见成团分布,胞浆染蓝色有黏附感,部分可见空泡。


答案不言而喻,该患者为CML-急变,那根据形态是急髓变还是急淋变呢?通过形态,我们考虑为原幼淋细胞,对该标本进行POX染色,结果阴性:


▲POX染色为阴性


3、外周血涂片镜检如下:


外周血白细胞数量正常,偶见幼粒,形态大致正常,淋巴及单核细胞比例及形态正常。红细胞大致正常。血小板中小簇可见。


  • 形态学诊断:

CML急变(考虑淋系)


  • 免疫分型(此结果为4月前加速期的结果)

流式报告为:12.78%的细胞为恶性幼稚B淋巴细胞,粒系发育异常。


  • 染色体核型分析

46XX,t(9;22)(q34;q11)[20]


  • 分子生物学检查

该病例MICM综合诊断为:CML急变(淋系)



心得体会


绝大多数急性白血病骨髓形态原始细胞为单个分布,而本例原始细胞形态特征分布除了单个外,还存在成堆分布,与骨髓转移癌相似。


从形态学角度:仔细观察,发现该类细胞形态均一性强,单个细胞形态与成堆细胞一致,判定为同类,感觉有融合和部分共浆现象,但缺乏肿瘤细胞的“三大,三深,三千”的特点,立体感不强,单个细胞考虑原始细胞,成团细胞也属于同类,故不考虑转移癌或者AL合并转移癌。


从病史角度:患者有CML病史,且时间较短,初诊前也并未发现转移癌的存在。故排除转移癌的可能,考虑CML急变。假如患者有癌症病史,而非CML病史,需要首先考虑转移癌。


从免疫分型角度:12.78%细胞表达CD19、cCD79a、CD10、CD34、HLA-DR、CD38,部分表达CD20,提示为恶性幼稚幼稚B淋巴细胞来源,排除了转移癌类疾病。同时CD15表达减弱,部分异常表达CD56,提示粒系发育异常。符合CML病史进展。

从分子学角度:BCR-ABL210阳性,再次提示该患者为CML急变而来。



知识链接


非造血系统肿瘤的患者约1/4存在明显的骨髓转移症状,其发生率与病期早晚及肿瘤类型有关,临床表现复杂多样。成人最常见的骨髓转移癌有肺癌、乳腺癌、前列腺癌和胃肠道癌。儿童最常见的是神经母细胞瘤,其次为横纹肌肉瘤、尤文氏瘤等。


通常实体瘤骨髓转移的细胞常呈局灶性浸润、由于肿瘤细胞代谢异常,导致细胞极性排列紊乱,相互黏连,常常成团成簇分布,细胞融合现象明显,常伴有骨髓坏死。


骨髓转移癌往往是分布在正常造血细胞中,推片时常常被挤压推至片尾及边缘处,形态工作中需要低倍镜下仔细观察全片是否易见大细胞或细胞团,重点海岸线寻找,发现异常后再转至油镜下辨别。


大多肿瘤细胞具有“三大三深”特点,“三大”指胞体大、胞核大、核仁大;“三深”指胞质深、胞核深、核仁深,此特点在体液细胞学检查中表现更为突出。实验室检查诊断中一个重要的线索就是外周血涂片中发现幼红、幼粒细胞,是癌性贫血的特征之一。


常见各种成团细胞的细胞形态学特点:



PS:成团细胞种类繁多,但骨髓形态无法做到具体定性,确诊需要依靠组织活检,下面配图均为通过病理学明确诊断的部分转移癌病例配图:


1、转移癌(胃癌)


2、神经母细胞瘤


3、横纹肌肉瘤(来自公众号,致谢)


4、尤文氏瘤(来自公众号,致谢)


5、大细胞淋巴瘤单个分布


6、大细胞淋巴瘤(2个聚集分布)


7、多发性骨髓瘤


8、转移癌成团分布


9、转移癌单个分布


遇到成团异常细胞的诊断思路经验分享:

注意:成团的不一定是转移癌(可见于急性淋巴白血病、淋巴瘤等),有单个分布的,需要积极去寻找成团细胞,也不能排除转移癌(神经母细胞瘤、尤文氏肉瘤,横纹肌肉瘤等)一般情况下,骨髓穿刺涂片不适合用于肿瘤诊断,异常细胞成堆分布则提示转移瘤,可报告为“分类不明细胞”,并应通过骨髓活检和其它免疫组织化学染色来加以确认。



总  结


当遇到成团细胞时,不能仅仅想到转移癌的可能,其实有多种可能,本篇从作者遇到的骨髓成团细胞出发,对成团细胞的诊断思路以及经验做了分享,并对各种容易成团分布的细胞进行了对比,警示我们小心成团分布细胞的陷井,有成团不一定是转移癌,小心误诊。


而发现单个分布的异常细胞可疑时,特别是异常破碎细胞,胞浆云雾状,蓝色大核仁等特点时,需要片尾及海岸线寻找成团细胞,小心漏诊骨髓转移癌。


我们作为形态工作者,有时会遇到形态学对片中异常细胞的性质和来源不易做出判断,但是,如果能综合患者临床表现、骨髓活检+免疫组化、流式细胞检测、分子生物学检测等多种手段全面分析,仔细甄别,多一种思路,当以后遇到同类情况时方可思维清晰,不再上当,就能做出明确诊断。




参考文献

[1]李莉,丛玉隆,蔡力力,等.非造血组织肿瘤骨髓转移的诊断及肿瘤细胞形态学特点[J].南方医科大学学报,2014,34(10):1541-1545.

[2]中华医学会血液学分会实验诊断血液学学组.血细胞形态学分析中国专家共识(2013年版)[J].中华血液学杂志,2013,34(6):558-560.

[3]中华医学会血液学分会.慢性髓性白血病中国诊断与治疗指南(2020年版)[J].中华血液学杂志,2020,41(5):353-364.

[4]SwerdlowSH,Campo E,Harris NL, et al. (Eds) : WHO Classification of Tumours ofHaematopoietic and Lymphoid Tissues (Revised 4th edition). IARC:Lyon2017.

[5]吴茅.浆膜积液细胞图谱新解及病例分析[M].北京:人民卫生出版社,2017


END

来源: 检验医学
我有话说......