找回密码
 立即注册

QQ登录

只需一步,快速开始

  • QQ空间
  • 回复
  • 收藏

【聚焦3·21】世界唐氏综合征日

小博士 2021-3-22 12:00 AM 1666人围观 科普



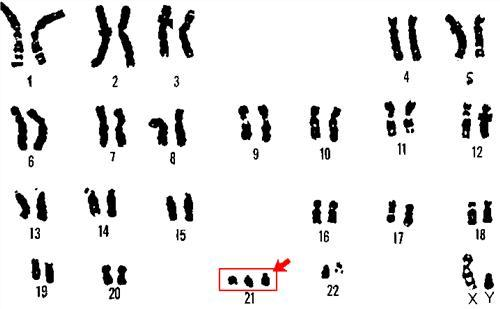
【日期的由来】世界唐氏综合征日之所以定在3月21日这天,是因为研究发现唐氏综合征患者的第21对染色体比一般人多了1条,为三体型。而唐氏综合征学名为21-三体综合征,所以联合国大会将3月21日定为世界唐氏综合征日,自2012年开始每年的这一天为此举办活动。所有会员国、相关组织都可以受邀以适当方式举办宣传活动,以提高公众对唐氏综合征的认识。


唐氏综合征又称先天愚型或Down's综合征,60%的患儿在胎儿早期即夭折流产。我国活产婴儿中唐氏综合征的发生率约为0.5‰~0.6‰,也就是每1000人中约有一个唐氏儿,其中男女之比为3:2。智能障碍、体格发育落后和特殊的面容是唐氏患儿的主要表现,而且还可伴有多发的畸形。唐氏综合征目前尚无有效治疗方法,只能通过孕期筛查预防。所以,这就是为什么我们国家要求所有的孕妇在产检期间无一例外要做唐筛。

遗传特征
1959年LeJeune等人首次报道了21号染色体和唐氏综合征患者之间的联系——即额外地多出了部分或整条21号染色体是唐氏综合征根本原因。根据21号染色体三体的成因或存在形式,患者可分成四种类型(见表1):

风险因素
高龄妊娠(≥35岁)是发生21三体的主要危险因素,特别是40岁以上的女性,生育唐氏综合征患儿的风险会达到1%以上。
不同减数分裂时期的调控基因的变异。减数分裂过程中染色体的分离由很多基因参与调控,有研究证明某些基因的变异会导致染色体分离错误,例如SYCE2基因变异会导致减数分裂I期同源染色体的不分离;而SYCP2基因变异则会导致减数分裂II期姐妹染色单体的不分离。
环境因素也会增加染色体不分离的风险。吸烟、叶酸不足、口服避孕药,以及某些干扰内分泌的化学物质暴露等,均会对两性生殖系统(如卵巢、睾丸和生殖道)造成影响。值得警惕的是,目前有越来越多在实验动物中开展的研究表明,某些化学物质(如双酚A)会持续影响多个世代,即可以从爷爷辈传递到孙子辈甚至重孙子辈。
尽管经过几十年的探索,人们对唐氏综合征的病因有了一定的了解,但具体的发病机制仍不十分清楚。目前临床上没有行之有效的治疗方法和措施,因此预防在现阶段的重要性远大于治疗。通过产前检测方法在孕早、中期发现并终止妊娠,是有效降低患儿出生率的重要预防措施
唐氏筛查三剑客

目前对于唐氏综合征等染色体疾病的筛查方法,临床应用最多的主要包括血清学筛查,超声颈部透明带筛查以及无创产前DNA检测(NIPT)三种:

血清学筛查 可分为早唐筛查(孕9周~13周)和中唐筛查(孕14周~21周),检出率只有60%-80%,漏诊率高,假阳性率高。

超声颈部透明带(NT)筛查 有严格的孕周限制(11周-13+6周),同时受孕周、羊水、母体腹壁厚薄、胎位影响高,对医师的技术要求高,且只有70%-80%的检出率、假阳性率高。

无创产前DNA检测  一种针对胎儿染色体非整倍性疾病的新型检测技术,只需要抽取孕妈妈5mL外周血,即可检测发病率较高的21-三体综合征(唐氏综合征)、18-三体综合征(爱德华氏综合征)、13-三体综合征(帕陶氏综合征),具有无创、可靠、便捷、快速的特点,广受临床医生和孕妈妈们的喜爱。
筛查高危怎么办

如果筛查结果提示高危的话,孕妈们也不必过于焦虑,放平心态,结合临床医生的建议做进一步的产前诊断。

核型分析 根据孕周不同取样方式不同分为:绒毛膜穿刺(孕10周~14周)、羊水穿刺(孕16周~21周)、脐带血穿刺(孕20周~28周),无论是那种取样方式都是一种有创的检查技术。核型分析虽然是金标准技术,但需要进行细胞培养,检测周期长(三周),且对于10Mb以下染色体的微缺失/微重复检测较为乏力。 


NGS染色体异常检测(CNV-seq) CNV-seq是近年来新发展起来的一种基于高通量测序技术的产前诊断方法。该方法不但能够准确诊断所有染色体的数目异常情况,对于核型分析难于检测到的微缺失微重复也有着极高的检出率和准确度,而且检测周期也大大缩短(10个工作日),因此也被越来越多的应用于临床。
   
   需要强调的是,“唐筛”和“无创”,都属于筛查手段,检查结果都是概率,只能是高风险或者低风险,而不是确诊。因此,产前筛查检测的高风险孕产妇,仍需接受羊水、脐血或绒毛等穿刺手术,通过细胞培养染色体核型分析来确诊。

 

本文编辑:乐乐高

来源: 医药报
我有话说......