找回密码
 立即注册

QQ登录

只需一步,快速开始

  • QQ空间
  • 回复
  • 收藏

浅析骨髓细胞学检查

小博士 2021-1-20 12:00 AM 2003人围观 技术


作者 | 俞彤

单位 | 唐山弘慈医院



骨髓检查作为检验科非常重要的一项内容,从认识细胞到可以进行诊断疾病,需要长时间的训练和不断地学习,今天就骨髓细胞学检查的一些知识和大家进行讨论。


PART.
01


骨髓检查的目的和适应证



造血系统疾病的诊断、分型、疗效和预后判断。

这是骨髓检查最常用的目的。造血系统包括造血器官和造血细胞两部分,可能发生的疾病也很复杂,通过对形态、免疫分型、基因型等的检查,能够对疾病的发生发展有非常大的帮助。


诊断某些感染性疾病

如出现利杜小体。


恶性肿瘤骨髓转移

首发症状并不是原位的肿瘤症状,而是骨转移的首发症状,如骨痛,这时可以通过进行骨髓检查来判断。


协助诊断某些代谢性疾病

如脂类储存疾病。

PART.
02


骨髓检查分类


根据骨髓标本采集的方式


骨髓穿刺

·细胞学检查

·细胞化学检查

·免疫分型检查

·细胞遗传学检查

·分子遗传学检查


骨髓活检

·组织学检查

·免疫组织化学


  

那么二者能否互相替代呢?是不能的。因为我们通过观察照片能够发现,两种方法所采集的标本类型不同。


穿刺做的是细胞学检查,在油镜下可以观察细胞的形态特征,更加细致;活检做的是组织学检查,虽然放大倍数不高,但是基本保存了在体内细胞间的相对位置,更真实的反应在机体内的情况。


在一些疾病中,既要做穿刺也要做活检,侧重点有所不同。目前在国外,更倾向于两种同时做,避免给患者带来后续痛苦。


需要指出的是,涂片时标本采集量不可过多,以0.2mL为宜。否则外周血会将骨髓液稀释,为诊断带来不必要的麻烦。免疫分型和遗传学检查时,以0.5~1mL为宜,分别以EDTA-K2和肝素抗凝。


PART.
03


骨髓细胞学检查


细胞学检查作为检验科最常做的检查之一,因其方便、快速的特点,被大家广泛使用。




低倍镜检查:

需要观察取材、涂片、染色情况;判断骨髓增生程度;计数巨核细胞数量;异常细胞筛查。下面两张图表示不同情况的取材、涂片和染色情况。









油镜检查:

主要负责计数细胞,进行形态学的辨别。计数的个数通常在200到500个,以前我们都是计数200个,WHO最新规定计数500个,这点希望大家注意。


同时还有一个需要注意的概念,就是ANC和NEC。ANC指的是所有有核细胞的计数,NEC是指除了有核红细胞、肥大细胞、浆细胞等以外的计数,也就是计数时的分母不同,后续的诊断标准也会不同,目前是以ANC诊断为主。







这张是最新的骨髓细胞分化发育图。以前我们认为嗜酸性粒细胞和嗜碱性粒细胞是在粒细胞的中幼阶段才开始分化的,现在发现在原粒时期就开始有嗜酸性原粒和嗜碱性原粒了,然后依次向下发展。


各系各阶段细胞观察特点和鉴别是需要注意的问题在课本和辅导书上都能找到,在这儿不再赘述。想说的一点就是我们一直把急淋中异常增生的细胞称为原幼淋细胞,但是在实际中,幼稚淋巴增生的疾病通常是属于慢性成熟淋巴细胞的疾病,所以在报告中,基本不提及原幼淋这个说法了,希望这点能够引起大家注意。


PART.
04


骨髓细胞化学检查


就算是最好的形态学专家,在面对疑难病例时,也不能做到百分百准确,因为形态学检查就是非常主观的东西,所以需要通过客观的染色来帮助判断。包括过氧化物酶染色(POX)、酯酶染色、中性粒细胞碱性磷酸酶染色(NAP)(较少用)、糖原染色(PAS)、铁染色。




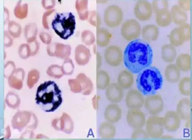
过氧化物酶染色(POX)

主要用于鉴别急性淋巴细胞白血病和急性非淋巴细胞白血病。有两种染色方式,A表示联苯胺染色,B表示煌焦油蓝染色。








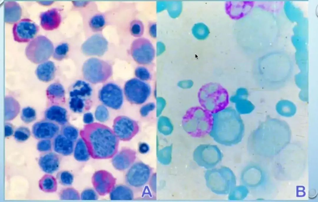
酯酶染色

分为两类,特异性酯酶染色和非特异性酯酶染色。


特异性酯酶仅存在于粒细胞和肥大细胞中,其他细胞都是阴性。



非特异性酯酶在临床应用更多,操作方便。AB为同一位患者,NaF抑制阳性;CD为同一位患者,NaF抑制阴性。








糖原染色

用于淋巴和红细胞系统疾病的鉴别。下图A为MDS,可见红系呈阳性,B为巨幼细胞性贫血,红系为阴性。








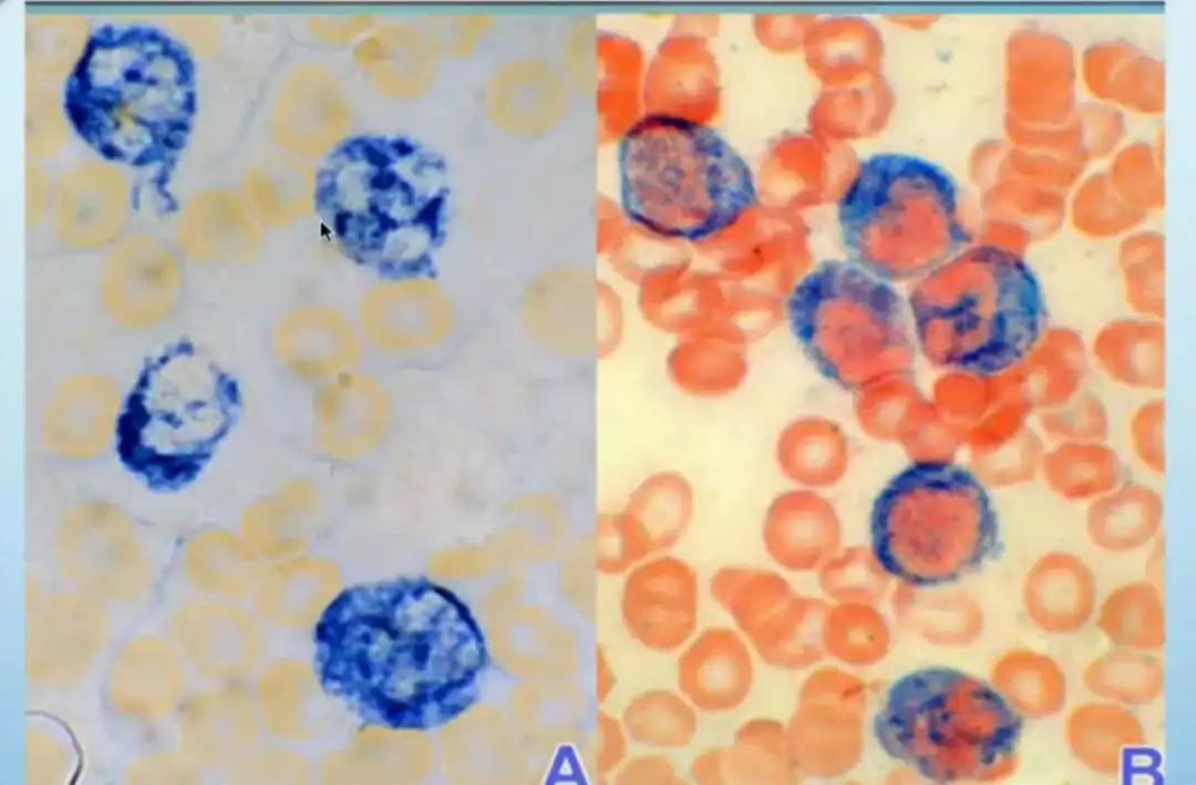
铁染色

是诊断和鉴别诊断缺铁性贫血的金标准。图中的A~D为细胞外铁阳性,E、F为外铁阴性。



在细胞内铁中,我们需要关注一个形态学特征,下图标注出来的,环形铁粒幼细胞,表示患者并非缺铁,而是铁利用障碍。






PART.
05


造血与淋巴组织肿瘤


目前有FAB分型、MICM分型和WHO分型,最常用的是WHO分型。


FAB分型,完全依赖形态学和细胞化学染色,把白血病分为急性白血病和慢性白血病。急性白血病又分为急性淋巴细胞白血病和急性非淋巴细胞白血病,急淋分为L1、L2、L3,急非淋分为M0~M7。


MIC分型,形态学、免疫学和遗传学结合到一起。


WHO分型,不再分为急性或者慢性白血病,而是分为骨髓增殖性肿瘤,嗜酸性粒细胞增多和血小板衍生生长因子受体A/B或者纤维母细胞生长因子受体1异常的髓系和淋巴系肿瘤,骨髓增生异常/骨髓增殖性肿瘤,骨髓增生异常综合征,急性髓系白血病和相关前体细胞肿瘤,不明系列急性白血病,前体淋巴细胞肿瘤,成熟B细胞肿瘤,成熟T和NK细胞肿瘤,霍奇金淋巴瘤,组织细胞与树突状细胞肿瘤,免疫缺陷相关淋巴细胞增殖性疾病。基本囊括了所有的血液系统肿瘤。


WHO的标准有两个最明显的改变,一是诊断急性白血病的标准由原来的30%的原幼细胞变为20%的原幼细胞,二是更看重基因的异常而非形态学的改变,将相同的基因型改变归在同一类疾病,因为前期数据显示,相同的基因表型在治疗上使用的方法和效果是相似的。




骨髓细胞学检查需要长时间的学习和积累经验,并且随着基因技术的应用,为诊断血液疾病提供了更加便利和准确的支持。希望今天提到的一些知识能够给大家一些帮助。


END

来源: 检验医学 | 作者:俞彤
我有话说......