找回密码
 立即注册

QQ登录

只需一步,快速开始

  • QQ空间
  • 回复
  • 收藏

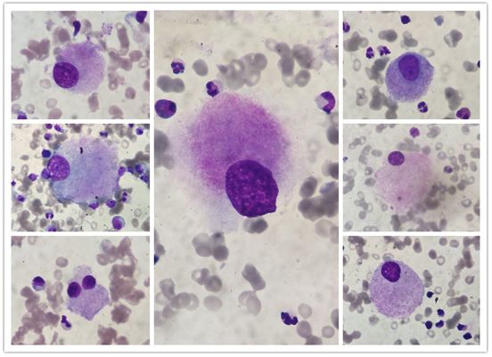
骨髓里出现的“大眼睛”

面气灵 2019-6-12 10:47 AM 3715人围观 技术

前段时间抖音最火视频“一双眼睛拯救一张脸,又想骗我生女儿”系列,让我们真切感受到一双明眸善睐的大眼睛就足够让你在人群中脱颖而出。骨髓里有时候也有“大眼睛”,它们的出现为诊断疾病提供了线索,那这些“大眼睛”究竟是什么呢?别急!您接着往下看。


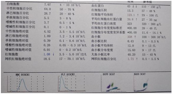
先来一张血常规结果,让大家热热身!



病例资料:


患者 女 72岁  主诉:活动后心慌、胸闷6月


现病史:6月前患者无明显诱因出现活动后气喘,表现为走路稍快时心慌、胸闷,偶伴有腰部酸痛,无发热、咳嗽、咳痰、头晕、头痛,无关节痛、皮疹,无腹痛、腹胀、恶心、呕吐、黑便,无尿频、尿痛、尿急。在当地医院查血常规:WBC5.53×109/L,RBC1.19×1012/L,HB48g/L,PLt365×109/L。未治疗,后至我院门诊就诊,以“贫血查因”收入院。


既往史:有“冠心病”20余年,口服“西洋参”等中成药治疗,否认“高血压、糖尿病、乙肝、结核”等病史,否认药物过敏史。


体格检查:T 36.7℃,P 88次/分,R 21次/分,Bp 120/65mmHg,余无明显异常。


入院后实验室检查:


血常规如上图;凝血功能、肝功能、肾功能、心肌酶、电解质等均无异常;轻度的血脂、血糖增高;贫血三项(叶酸、VB12、铁蛋白)、肿瘤标志物等均无异常。


根据患者血常规结果分析:1.白细胞数、分类及散点图均无明显异常。2.重度贫血,且为大细胞性贫血(MCV明显增高)。但是患者贫血三项正常,基本排除了巨幼细胞性贫血。那么根据病史MDS的可能性就很大了。为了明确诊断,患者做了血液病诊断相关检查:


骨穿结果:


描述:

一.取材有部分凝集,涂片好,染色好。

二.骨髓增生明显活跃,粒:有核红=22.86:1

三.特征:

骨髓:

  • 粒系比例正常,各阶段粒细胞形态无明显异常。

  • 红系比例明显减低,各阶段幼红细胞形态无明显异常。成熟红细胞大小不一,以大细胞为主。

  • 淋巴细胞比例正常,为成熟淋巴细胞,形态无明显异常。

  • 单核细胞比例正常,为成熟单核细胞,形态无明显异常。

  • 全片见巨核154个,分类25个,其中成熟无血小板形成巨核细胞20个,成熟有血小板形成巨核细胞5个。易见单圆核巨核细胞,可见双圆核巨核细胞。血小板单个、小堆分布,易见,凝集处可见成片分布。大小形态无明显异常。

  • 无其他异常细胞及寄生虫。



骨髓里看到了这么多的“大眼睛”——单圆核巨核细胞。MDS?基本能确定了。等等,患者老年女性、大细胞贫血、血小板增多、单圆核巨核细胞易见这些信息似乎都指向了MDS的一个亚型——5q-综合征。随后的染色体检查结果证实了自己的猜测。


染色体结果:

 

 

流式:



突变基因:

 


最终诊断:骨髓增生异常综合征伴单纯del(5q)


总结:


骨髓增生异常综合征(MDS)是一组起源于造血干细胞的异质性髓系克隆性疾病,其特点是髓系细胞发育异常,表现为无效造血、难治性血细胞减少,高风险向急性髓系白血病转化[2]


5q-综合征好发于女性,中位年龄67岁,最常见的临床症状与贫血有关,贫血常是严重的大细胞性。1/3~1/2的患者可有血小板增多,而血小板减少不常见。


形态学表现为骨髓增生活跃或明显活跃,常见红系增生低下。巨核细胞数量增多,明显的核分叶少或不分叶,而红系和粒系发育异常不常见。骨髓原始细胞<5%,外周血中<1%。


遗传学表现为5号染色体的间质性缺失是其特异性的细胞遗传学异常,缺失的大小和断裂点的位置不定,但总有q31-q33缺失,之前认为,有任何额外染色体异常(Y染色体丢失除外),不应归入此类[1],但在2016年WHO对MDS诊断分型进行了修订,其中修订了MDS伴单纯del(5q)的细胞遗传学标准,提出可伴有第二种细胞遗传学异常[除-7/del(7q)外[2]


附WHO(2016)MDS修订分型,共同学习


*血细胞减少的定义为血红蛋白<100g/L,血小板计数<100×109/L,中性粒细胞绝对计数<1.8×109/ L;极少情况下,MDS可见这些水平以上的轻度贫血或血小板减少;外周血单核细胞必须<1×109/L;**如果存在SF3B1突变;***外周血1%的原始细胞必须有两次不同场合检查的记录;△若环形铁粒幼细胞≥15%的病例有红系明显病态造血,则归类为MDS-RS-SLD 


参考文献:

[1] 周小鸽,陈辉树.译.[美] Steven H.Swerdlow,Elias Campo,Nancy Lee Harris,等著.造血与淋巴组织肿瘤WHO分类.第四版.

[2] 中华医学会血液学分会. 骨髓增生异常综合征中国诊断与治疗指南(2019年版) [J] .中华血液学杂志,2019,40( 2 ): 89-97. DOI: 10.3760/cma.j.issn.0253-2727.2019.02.001

原作者: 杜永光 河南大学淮河医院检验科 来源: 检验视界网
我有话说......